Ученым впервые удалось сфотографировать зеленую водоросль, занятую поеданием бактерий. Благодаря данной фотографии мы можем получить наглядное представление о том, как ранние одноклеточные организмы приобретали фотосинтезирующих прокариотических симбионтов, которые впоследствии стали хлоропластами.
В новой статье в журнале Current Biology исследователи описывают механизм того, как водоросль, похожая на предка зеленых водорослей, поглощает бактерий. Таким образом, получены убедительные свидетельства того, что подобное действительно когда-то могло произойти. «Это поведение предполагалось прежде, но явных доказательств не было до этого исследования, – говорит Юнсу Ким (Eunsoo Kim), сотрудница отдела зоологии беспозвоночных Американского музея естественной истории в Нью-Йорке (США), одна из авторов работы. – Наши результаты предоставляют важную информацию о событии, которое фундаментальным образом поменяло ход эволюции». Это ключевое событие, по сути, определило дальнейшую эволюцию не только фотосинтезирующих водорослей и наземных растений, но также и животных.

У зеленых водорослей и наземных растений имеются специализированные клеточные органеллы – хлоропласты, с их помощью происходит фотосинтез – преобразование на свету углекислого газа и воды в органические соединения, служащие пищей для растительных клеток. Побочным продуктом этого процесса является кислород. Происхождение хлоропластов описывают теорией эндосимбиоза, согласно которой одноклеточные эукариоты (организмы, имеющие в клетках ядро) захватывали свободноживущих фотосинтезирующих цианобактерий, но не переваривали их, а использовали в качестве помощников – со временем такие симбионты и стали хлоропластами. Подобным образом могли появиться и другие клеточные органеллы, например митохондрии.
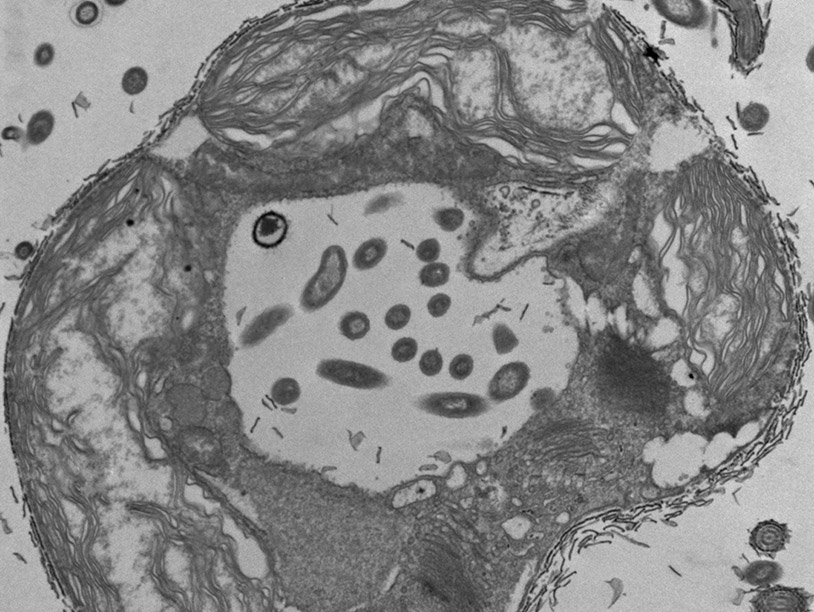
Однако специфический механизм такого «питания» оставался неизвестным до настоящего времени. Теперь же с помощью электронного микроскопа удалось получить убедительные изображения того, как одноклеточная зеленая водоросль Cymbomonas питается бактериями. Через ротовое отверстие она вовлекает бактериальные клетки в вытянутый канал, по которому пища проходит в большую пищеварительную вакуоль. Современной водоросли, способной использовать энергию солнечного света, нет нужды в такой сложной пищеварительной системе, а значит, она досталась ей в наследство от нефотосинтезирующего предка всех зеленых водорослей и наземных растений, и эта система сыграла значимую роль в эволюции первых фотосинтезирующих эукариот.